One of the most common treatments in a dental clinic involves problems caused by wisdom teeth. In this article, we will review the main situations they generate, as well as their treatments and solutions.
What are wisdom teeth?
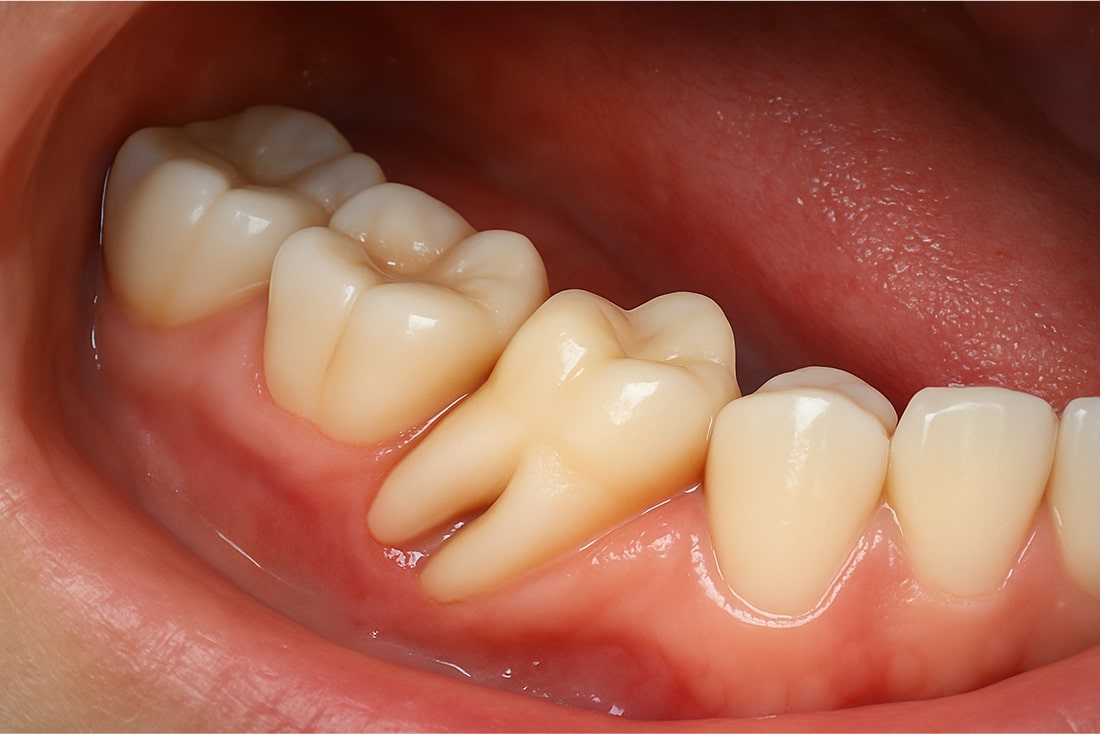
Wisdom teeth, also called third molars, received their name because they usually appear after the age of 16, an age associated with maturity. They are the last teeth to erupt in the mouth.
Their appearance does not follow a fixed rule: they may erupt at 16, at 30, or may never appear at all. In some cases, there is agenesis of wisdom teeth, meaning the person does not develop these teeth because the dental germ is absent.
Additionally, wisdom teeth can erupt in different positions, inclinations, or deviations, which may cause problems with space and oral health.
Is it always necessary to remove wisdom teeth?
The answer is not always, only in specific cases.
Extraction is recommended when:
- Recurrent dental pain occurs due to cavities or gum inflammation.
- An abnormal position causes damage to the adjacent tooth.
- They interfere with orthodontic treatment.
It is important to clarify that wisdom teeth do not move other teeth, so this is not a reason for extraction.
Clinical examples of necessary extraction:
- Tooth 38 with infection and risk due to proximity to the inferior dental nerve.
- Tooth 18 over-erupted due to the absence of its opposite, causing decay in the neighboring tooth.
- Tooth 48 tilted, generating cavities in the adjacent molar.
- Tooth 48 in a horizontal position, with direct contact with the nerve.
Main causes of wisdom tooth pain
The most common cause is pericoronitis, inflammation of the gum surrounding the tooth. This tissue is weaker and favors food accumulation, which leads to dental infections.
Another common cause is cavities, which are difficult to treat due to the position of these teeth and the impossibility of performing root canal therapy in advanced cases.
What does wisdom tooth extraction involve?
Extraction is not usually a complex procedure, though it requires specialized technique.
- Upper wisdom teeth are generally easier to remove, since the maxillary bone is softer.
- Lower wisdom teeth are more challenging due to:
- The hardness of the mandibular bone.
- Proximity to the inferior dental nerve.
- The need for odontosection in certain cases.
Post-extraction treatment
The most common post-operative care includes anti-inflammatories and antibiotics. In cases of severe pain, corticosteroids may also be prescribed. Antiseptic rinses with chlorhexidine help prevent infections.
In lower wisdom teeth, stitches are often required.
Possible consequences after extraction
Some discomfort that may appear includes:
- Intense pain due to osteotomy or infection.
- Dry socket, more common in smokers.
- Trismus, or difficulty opening the mouth.
- Numbness of the lips or tongue due to nerve proximity.
- Bruising on the external area of the face.
In most cases, symptoms improve within days or weeks.
Wisdom tooth extraction should always be carefully evaluated and performed only when there is a true clinical need. Consulting a dental specialist is the best way to avoid complications and maintain good oral health.




