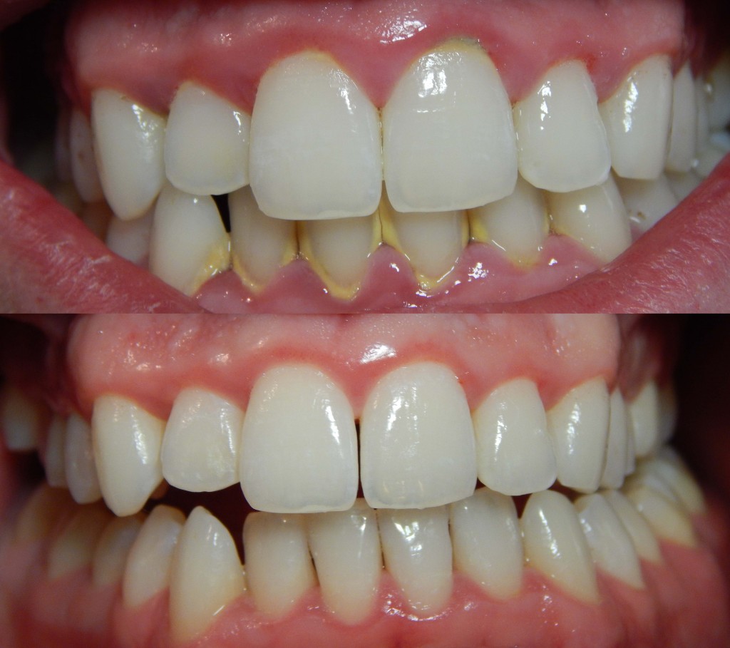
La presencia de placa dental es frecuente desde la infancia, pero evitar su acumulación es clave para prevenir patologías como la caries o la gingivitis. Pero, ¿Sabes qué es exactamente la placa dental? ¿Cómo evitar que se acumule entre dientes y encías?
La placa dental es una fina película de proteínas que se encuentran en la saliva, a la que se adhieren las bacterias presentes en la cavidad bucodental. En nuestra boca conviven todo tipo de bacterias que, si no son eliminadas, forman una película más pegajosa que es el sarro. La formación de sarro favorece la adhesión de más bacterias. Además, el sarro sólo se puede eliminar en la consulta mediante una higiene bucal profesional.
Estas son algunas de las enfermedades periodontales relacionadas con la acumulación de placa dental entre dientes y encías:
- Caries dental.
- Enfermedades periodontales: gingivitis y periodontitis.
- Periimplantitis.
- Infecciones.
- Irritaciones bucales.
¿Cómo prevenir la formación de placa?
Con los cuidados adecuados, es fácil prevenir la formación de placa. Es importante respetar los siguientes cuidados:
- Cepíllese cuidadosamente, por lo menos dos veces al día, para retirar la placa adherida a la superficie de los dientes.
- Use hilo dental diariamente para retirar la placa que se forma entre los dientes y debajo del borde de las encías, donde el cepillo dental no llega.
- Use enjuague bucal dos veces al día antes o después del cepillado.
- Limite el consumo de almidones y azúcares, especialmente alimentos pegajosos.

¿Cómo prevenir la formación de placa?


